Tag: pain
Buy Tramadol Bitcoins Offer (50% Off + 20% Cashback )
Buy Medicine Online From Careskit.com and get 50% off with free home delivery within 24 hours.
9 Signs You Should Seek Medical Attention for Your Elbow Pain
Medical Attention for Your Elbow Pain
Using a Functional Restoration Program to Treat Chronic Pain
The objective of a functional restoration program is to increase or restore physical functioning and conditioning, typically with the specific purpose of preparing you to return to work.
How Kinesiology Can Help Us?
Often people ask me what does Kinesiology do? Despite each session and experience varying subject to the practitioner you see, the bottom line and aim is the same: the key purpose is to balance the nervous system by down regulating the stress response.
Bertolotti’s Syndrome—It May Be the Source of Your Back Pain
Symptoms and Treatment According to statistics compiled by the federal government, about four of every five Americans will seek medical treatment for back pain at some point in their life. In many instances, the pain is the result of a traumatic accident...
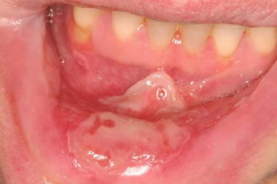
U.S. Severe Oral Mucositis usually affects the mouth and often results from cancer treatments
U.S. Severe Oral Mucositis impairs the patient's quality of life and can also be life-threatening
Lack of knowledge about animal diseases is predicted to hinder demand for Companion Animal Drugs
Antiparasitics are a class of medications which are indicated for the treatment of parasitic diseases.
All Needle-free Blood Drawing Devices require that the patient wears an adhesive band around their fingers
Needle-free Blood Drawing Devices types of drawing devices are also usually less expensive than a typical blood drawing.
Anesthesia Monitoring Devices are strapped around the body and keep tabs on the number of anesthetic drugs being given to the person under study
Anesthesia Monitoring Devices have come a considerable ways since their first appearance more than 100 years ago.
Spine Pain Specialist
We educate our patients on all available remedy options so you can even make the most effective decision on your health.
Understand New Tips To Tackle Neck Pain And Head Aches.
Understand New Tips To Tackle Neck Pain And Head Aches.
Physical therapy for Neck pain Relief
The upper spine area, just below the head, is where the neck is felt. The pain can extend to the upper back areas like the shoulders and arms. You can opt for physical therapy for neck pain relief. Neck pain can be caused by sudden trauma like a fall, spo...
Patients who undergo Total Disc Replacement surgery typically go back to work a few days following the procedure
Total Disc Replacement is a surgery that is performed as an arthroplasty, also known as a lumbar laminectomy.
5 Fastest Ways To Relief Fibromyalgia Pain! The Top Things You Can Do Immediately
Today we will cover 5 things you can do immediately to get relief from fibromyalgia pain! If you or someone you knows suffers with fibromyalgia, do not miss this! Share this with friends and family that are searching for hope and answers!