144
views
views

By far Osteoarthritis, is the most common joint disorder worldwide. It is truly universal condition, affecting both sexes and all races. Evidences
By far Osteoarthritis, is the most common joint disorder worldwide. It is truly universal condition, affecting both sexes and all races. Evidences suggest that prevalence rises from 1 per cent below the age of 30 years to over 50 per cent in people above the age of 60.
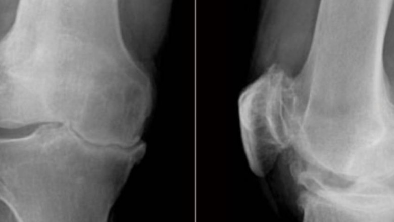
It is most obvious that Osteoarthritis increases with age, so is it simply an expression of senescence? No, it occurs with significant frequency in certain joints and certain areas of a particular joint, while all the other joints are commonly spared. Joints such as Hip, Knee, Base of thumb and Spine are more frequently involved than others, with Knee joint being the commonest.
Age, obesity, occupation, bone density and family history are the genuine risk factors.
Pain is the usual complaint, starting around middle age of 45-50 years. It starts slowly and progresses over the next few years, ultimately becomes very disturbing over the next 5-8 years. It is usually on walking or stairs, but becomes constant later in life.
Osteoarthritis treatment requires a holistic approach to the person. It can be distributed in following parts:
All these injections are helpful in “Early Osteoarthritis” only and should be discussed with your doctor.
Dr. Ashwini Gaurav is the best orthopedic surgeon and arthritis doctor in patna. The cost cannot be defined. The costing will depend on the kind of treatment you would be needing. Because there is different costing for medication, therapy, and surgery. Feel free to connect us we are always there to serve you.