502
views
views
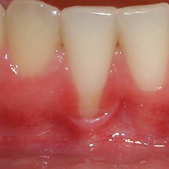
The root of a tooth is normally covered by the bone and gum supporting the tooth. If this support is removed part of the root is exposed. It may be mild-moderate or severe. Emergency Dental Services in San Diego is the no. 1 online resource for connecting patients with dental emergencies directly to dentists in their local area. For more information, contact us at 858-951-1058.
