views
According to Dental Office Houston Texas, your dentist may be able to cure mild gum recession by deep cleaning the afflicted area. During the deep cleaning procedure, your dentist will carefully remove plaque and tartar build-up on the teeth surface below the gum line, known as tooth scaling and root planing. They’ll smooth out the exposed root area to make it more difficult for bacteria to attach themselves. Your doctor who performs Gum Recession Surgery Near Me may give you anesthesia to eliminate any lingering dangerous bacteria.
![]()
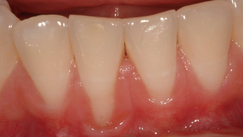
Suppose you cannot manage gum recession with deep cleaning due to excessive bone loss or deep pockets. In that case, Gum Recession Surgery may be necessary to correct the damage or harm that gum recession causes. Gum recession surgery is a type of dental surgery that dentists perform to repair the damage of gum recession.
What kind of surgical procedures do dentists use to cure gum recession?
Dentists at gingivectomy Houston treat gum recession using the following surgical procedures:
Root Planing and Open Flap Scaling
The dentist or periodontist folds back the damaged gum tissue. It eliminates the dangerous bacteria from the pockets. It then snugly secures the gum tissue over the tooth root, removing or minimizing the pockets. Visit Gum Recession Treatment Houston for root planning and open flapping scaling treatment.
Regeneration
Suppose the bone supporting your teeth destroys due to gum recession. In that case, the dentists recommend a procedure of Gum Recession Regeneration to help regenerate lost bone and tissue. Your periodontist will fold back the gingival tissue and remove the harmful bacteria, similar to pocket depth reduction. A regeneration material, such as a membrane, graft tissue, or tissue-stimulating protein will naturally urge your body to grow bone and tissue in that location. The gums tissue anchors over the root of the tooth or teeth after placing the regenerative material.

Soft Tissue Graft
According to a dental specialist at LANAP Procedure Near Me, various gum tissue graft treatments are available. Still, the connective tissue graft is the most prevalent. They’ll cut off a flap of skin from the roof of your mouth (palate) and tissue from beneath the flap. It is known as subepithelial connective tissue. During this surgery, it is taken and stitched to the gum tissue surrounding the exposed root. A pedicle graft is a term for this procedure. The dentist who does Gum Recession Surgery Near Me can evaluate which treatment option is ideal for you according to your specific needs.
How can we pre prevent gum recession?
The best way of Gum Recession Treatment is to take good care of your oral health. Brush and floss and rinse your teeth daily and visit your dental care provider at least twice a year. If you have gum recession, you may have to visit your dentist more often. Remember to use a soft-bristled toothbrush and ask your dentist or periodontist to show you how to brush your teeth. If a bite misalignment is the cause of gum recession, then ask a dentist about how to correct this issue.
Conclusion
We hope the above-given information is beneficial for us. It helps us understand more about gum recession and gum recession surgery. The above article discusses how a dentist treats gum recession, what surgical procedure dentists use to treat gum recession, and more. For further information regarding the gum recession, visit laserdentistrynearme.com.
Article Source : https://www.spiceupblogging.com/how-do-dentists-treat-gum-recession/
