views

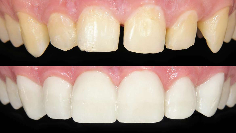
Dental bonding Miami is simpler in comparison to other cosmetic dental procedures. This process is so essential that it rarely necessitates anesthetic and just requires one visit to the dentist unless you're filling a cavity. A cosmetic dentistry surgery like tooth bonding might give you the self-assurance to show off your pearly whites if you have a chipped, fractured, or discolored tooth. To repair damage to one or more of your teeth, your dentist Miami shores may perform a process known as tooth bonding.
It's a cost-effective alternative because it's significantly less expensive than other cosmetic dentistry operations like crowns and veneers. Your orthodontist Hallandale fl begins the procedure by choosing a composite resin shade that closely resembles the shade of your real teeth using a shade guide.
They roughen up the tooth's surface and then apply a liquid to make it possible for the bonding agent to adhere to it. After molding or shaping the teeth with the composite resin solution, your dental specialist hardens the substance with ultraviolet light.
Why should we get teeth bonding?
You can fix an issue or flaw in a tooth through tooth bonding. You can sometimes restore a decaying, broken, or discolored tooth by bonding. It can fill small gaps between teeth with this treatment as well. Also possible with dental bonding is tooth enlargement. You might, for instance, desire all of your teeth to be the same length if one of them is shorter than the others. It usually takes 30 to 60 minutes to glue a tooth. Some Miami shores dentist appointments may go over their allotted time, depending on how extensive the process is.
Is it essential to care for bonded teeth?
Given that the bonding duration depends on the amount of bonding you have done and your oral hygiene practices, it is crucial to treat bonded teeth with the same level of care as your natural teeth. Remember that the bonding ingredient is susceptible to discoloration, so limit your beverage intake, including tea, coffee, cigarette smoke, and wine.
We must avoid staining foods for the first 48 hours following any composite operation. Call your dentist as soon as possible following the bonding procedure if you notice any sharp edges on the bonded teeth or strange sensations in your teeth. If the bonding fractures or falls off, call your dentist right once.
What risks are associated with dental bonding?
Dental bonding is an easy and safe outpatient procedure is dental bonding, and there are no adverse hazards. In contrast to dental veneers, your dental expert won't often grind down your teeth. If the composite resin is damaged, you can get it restored without worrying about how bizarre your tooth will look.
Comparing composite resin substance to dental veneers and crowns, it also chips and breaks less frequently. Additionally, it's critical to remember that resin is less stain-resistant than enamel over the long run. You risk developing long-term discoloration if you smoke or drink a lot of coffee, red wine, or both.
Conclusion
We hope the above-given information gives you valuable insight into dental bonding. For further exciting details about dental bonding, please visit ivanovortho.com.
Article Source : https://www.pitchbusinessblogs.com/what-is-a-dental-bonding-according-to-you/