367
views
views
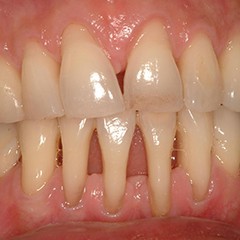
Gum recession is the loss of gum tissue from around the crown of the tooth. It may be mild to severe. It exposes the dentine on the root surface that may be sensitive. Emergency Dental Service is the most convenient way to find a dentist near you during an urgent or extreme dental emergency. For more information, contact us at 602-603-7854.
