458
views
views
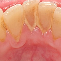
Tartar is the hard calcified material that builds up on teeth. It is formed mainly from minerals in saliva mixed with the bacteria of dental plaque. It can only be removed by a dental professional. We provide Emergency Dental Services in Mount Prospect like Abscess-Gum & Dental Abscess, Calculus Teeth, Chipped Tooth, Erosion, Fillings, and Gum Disease, Jaw Injury, Periodontitis, etc. Contact us at 847-728-8417 for more information.
