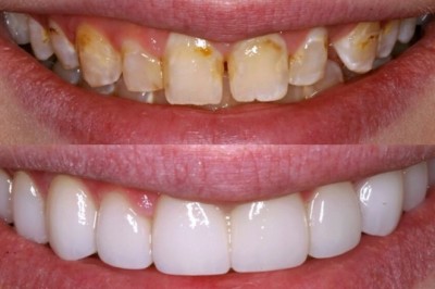
Tag: Porcelain Veneers
Precinct Dental Practice
Precinct Dental Practice in Abingdon has been established for over 60 years. A welcoming family approach and high quality patient care.
Porcelain Veneers: The Secret Behind a Sparkling Smile!
Dental veneers are sheets made of different materials that allow us to correct small tooth defects, both in form and size, and colour. Contact Northampton Dental to know more.
Advantages of Invisalign Over Traditional Braces
It’s your teen’s first high school picture day, and you can tell by the nervous energy in the room the stakes are high. You suggest a practice smile
Know-How Long Do Porcelain Veneers Last
The reason for porcelain veneers is the effectiveness and well-being of the teeth. Porcelain fabrics can look natural and lighten dark brown teeth or toothpaste. In addition, the shape of the teeth can be improved, enlarged, shortened, fully or slightly f...
What are Types Of Porcelain Veneers
Among the many things you can do to enhance your smile and self-confidence is to have porcelain veneers.
Porcelain Dental Veneers in West Hollywood at Smile Atelier
Are you looking for a veneers specialist in West Hollywood? Dr. Borzoo Ahmadi DDS is a well-known cosmetic dentist in West Hollywood. Book an appointment!
Porcelain Veneers Treatment in Prosper TX
Biggest benefits of porcelain veneers is the fact that they can so highly customized that they’re often indistinguishable from your healthy teeth.