Tag: dental treatment
Exton Dental - Beautiful Smiles That Last A Lifetime
One of our dentists who specialize in implant dentistry performs this surgical procedure.
When Is Dental Implant Surgery Needed?
The dental implant is a process where natural tooth roots are replaced with metal, screw-like posts, replacing damaged or a missing tooth with an artificial one.
Top Reasons Your Child Should See a Child Dentist | Tower House Dental Clinic
Often, parents would face unprecedented trouble getting their youngsters to visit the Dentist. It is true; this may result even in explosive, disobedient behavior from your kid. But this is only a common response coming from your scared child.
Dental Equipment Refers To The Tools That Are Used To Evaluate, Alter, Treat, And Heal Any Oral Problems
The COVID-19 epidemic has had a significant impact on the dental equipment business. During the pandemic, r
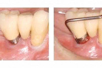
One of the most classic periodontal treatment options
It is important to note that although many patients with peri-implantitis are already severe enough to require surgical intervention at the time of consultation, it is still important to start with the initial phase of treatment, and laser therapy is a mo...
Wisdom teeth removal: A complete guide on the procedure and tips to recovery
Wisdom teeth removal has become common among teens and young adults. These pesky molars are not only painful and discomforting for many, but they also hamper the aesthetic appearance of your smile. Are you considering
All-on-4 dental implants: 3 distinguishable benefits for an enhanced smile!
Does an unsightly smile make you feel abashed? Are you undergoing several oral issues and want a brand new healthy smile? All-on-4 dental implants are just for you! Tooth loss is a common dental issue
Monarch Dentistry - Stoney Creek
Monarch Dentistry is a perfect source as your family dentist in Stoney Creek, Hamilton, ON
Monarch Dentistry - Brantford Colborne
Monarch Dentistry is a perfect source as your family dentist in Brantford near Colborne street. We serve comprehensive dental services and treatment to meet your all oral health requirement under one roof.