In the winning Healthcare Education Solutions Market document, market segmentation is performed in terms of markets covered, geographic scope, years considered for the study, currency and pricing, research methodology, primary interviews with key opinion...
In the winning Catalepsy Treatment Market document, market segmentation is performed in terms of markets covered, geographic scope, years considered for the study, currency and pricing, research methodology, primary interviews with key opinion leaders, DB...
This industry analysis report speaks in detail about the manufacturing process, type and applications. The top-notch Cyclooxygenase 2 Inhibitor Market analysis report consists of drivers and restraints for the market which are obtained with the help of SW...
The superior Spinal Machined Bone Allograft Market report makes concentrate on the important aspects of the market such as recent market trends and market conditions.
The first class Biobanking Market document has been generated by keeping in mind all the needs of the businesses for thriving successful business growth. Moreover, market status at the global and regional level is provided through this report which helps...
The first class Hospital Acquired Infection Control Market document has been generated by keeping in mind all the needs of the businesses for thriving successful business growth. Moreover, market status at the global and regional level is provided through...
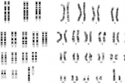
The first class Karyotyping Market document has been generated by keeping in mind all the needs of the businesses for thriving successful business growth. Moreover, market status at the global and regional level is provided through this report which helps...
The first class Rehabilitation Therapy Services Market document has been generated by keeping in mind all the needs of the businesses for thriving successful business growth. Moreover, market status at the global and regional level is provided through thi...
The first class Myelodysplastic Syndromes Market document has been generated by keeping in mind all the needs of the businesses for thriving successful business growth. Moreover, market status at the global and regional level is provided through this repo...
The first class Nurse Call Systems Market document has been generated by keeping in mind all the needs of the businesses for thriving successful business growth. Moreover, market status at the global and regional level is provided through this report whic...
The first class Genomic Tests Market document has been generated by keeping in mind all the needs of the businesses for thriving successful business growth. Moreover, market status at the global and regional level is provided through this report which hel...
The first class Laser Endomicroscopy Market document has been generated by keeping in mind all the needs of the businesses for thriving successful business growth. Moreover, market status at the global and regional level is provided through this report wh...
The first class Peyronie's disease treatment market document has been generated by keeping in mind all the needs of the businesses for thriving successful business growth. Moreover, market status at the global and regional level is provided through this r...
The first class ELISpot Market document has been generated by keeping in mind all the needs of the businesses for thriving successful business growth. Moreover, market status at the global and regional level is provided through this report which helps to...
The first class hives treatment market document has been generated by keeping in mind all the needs of the businesses for thriving successful business growth. Moreover, market status at the global and regional level is provided through this report which h...